TEKST LIESBETH HARKEMA, VETERINAIR PATHOLOOG, LINDA VAN DEN WOLLENBERG, SPECIALIST INWENDIGE ZIEKTEN PAARD, ROYAL GD, ARNSBERGSTRAAT 7, 7418 EZ, DEVENTER.
Cytologisch onderzoek van bijvoorbeeld aspiratiebiopten en BAL-vloeistof, en histopathologisch onderzoek van weefselbiopten kunnen van grote toegevoegde waarde zijn in het kader van diagnose en behandeling van een paardenpatiënt.
Dit artikel bespreekt toepassingen van cel- en weefselpathologie en biedt tips voor het correct nemen en inzenden van monstermateriaal. De kans dat de patholoog waardevolle informatie kan terugkoppelen aan de inzendende dierenarts, wordt namelijk veel groter als de kwaliteit van het ingezonden monstermateriaal goed is.
CYTOLOGISCHE UITSTRIJKJES VAN DUNNE NAALD ASPIRATIEBIOPTEN
Cytologisch onderzoek wordt vaak gebruikt ter beoordeling van longspoelingen, uitstrijkjes van lichaamsvloeistoffen (effusies, gewrichtsvloeistof) of als een weinig invasieve en snelle vorm van tumordiagnostiek. Dunne naald aspiratiebiopten (DNAB) zijn vooral bruikbaar bij processen waarbij gemakkelijk cellen loskomen, zoals ontstekingsprocessen en rondcellige tumoren (bijv. lymfoom, mastceltumor, melanoom). Stevige processen met fibrosering, zoals sarcoïden, geven vaak minder celmateriaal af, wat diagnostiek door middel van een DNAB moeilijker maakt. Dermatologische problemen zijn meestal niet geschikt voor cytologische diagnostiek omdat de diagnose hierbij afhankelijk is van de verdeling van afwijkingen in de verschillende huidstructuren. Gebruik voor een DNAB een 19-22 Gauge-naald en een 10 milliliter-spuit zonder vacuüm. Spuit het celmateriaal voorzichtig op een objectglaasje. Gebruik indien nodig een dikkere naald of aspiratie met vacuüm. Stuur vier à vijf uitstrijkjes per proces in.
CYTOLOGISCH ONDERZOEK VAN BAL VLOEISTOF
Bij paarden met (chronische) luchtweg- of longklachten, zoals astma, is cytologie van broncho-alveolaire lavage (BAL)-vloeistof een bewezen diagnostische methode. De aanbevolen verwerkingsmethode is de BAL-vloeistof bij < 300 g te centrifugeren, uitstrijkjes te maken van het sediment en deze aan de lucht te laten drogen om vervolgens in te sturen voor kleuring. De patholoog gebruikt ACVIM-referentiewaarden om ‘Inflammatory Airway Diseases’ te beoordelen. De uitslag wordt met klinische bevindingen gecombineerd voor het bepalen van een gerichte behandeling.
WEEFSELBIOPTEN
Histopathologisch onderzoek van weefselbiopten kan waardevolle informatie opleveren, bijvoorbeeld in het kader van tumordiagnostiek, huidproblemen, leverpathologie, maag-darmproblemen of fertiliteitsproblemen bij de merrie. Afhankelijk van het type weefsel en het doel van de bioptname, kan men kiezen voor een excisiebiopt waarbij de laesie volledig wordt weggenomen, een incisiebiopt waar een gedeelte van de laesie wordt verwijderd, een ponsbiopt of een ‘tru-cut’ (dikke naald)-biopt.
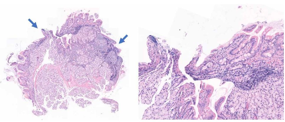
In alle gevallen is het belangrijk het weefsel tijdens en na bioptname voorzichtig te behandelen. Bij aanzienlijke knijpartefacten kan het weefsel bijvoorbeeld niet meer worden beoordeeld omdat de cellen letterlijk platgedrukt of uitgesmeerd zijn (figuur 1).
Wees daarom voorzichtig met het gebruik van een pincet en zorg bij het nemen van ponsbiopten voor een draaiende, snijdende beweging. Fragiele ‘tru-cut’ biopten of kleine endoscopische maagdarmbiopten kunnen tijdens transport uiteenvallen. Om dit zoveel mogelijk tegen te gaan, is het belangrijk containers geheel te vullen met formaline (geen luchtbellen, want dit geeft turbulentie). Een andere optie is deze kleine biopten in een weefselcassette (zie figuur 2) in de formalinecontainer te plaatsen. Fixeer biopten na bioptname altijd zo snel mogelijk bij kamertemperatuur in 4 procent gebufferde formaldehyde-oplossing, in een verhouding van één deel weefsel op tien delen formaline.

Figuur 1. Duodenumbiopt, HE-kleuring. Overzicht van het biopt met knijpartefacten (pijlen), bij hogere vergroting is verlies van cellulair detail en architectuur zichtbaar.
HUIDBIOPTEN
Dierenartsen worden in de dagelijkse praktijk regelmatig geconfronteerd met huidproblemen bij paarden. De patholoog kan op basis van het histopathologische reactiepatroon in de huid komen tot een diagnose of een differentiële diagnose. Een goede anamnese is hierbij belangrijk voor een juiste interpretatie van deze reactiepatronen. Het signalement, de distributie en het klinische (macroscopische) aspect van de huidlaesies en een eventuele reactie op behandeling vertellen veel over welke huidaandoeningen in een differentiële diagnose waarschijnlijker zijn en welke niet. Het nemen van meerdere biopten vergroot de kans op een diagnose. Als laesies in een chronisch stadium belanden, verdwijnt vaak het specifieke histopathologische beeld. Neem biopten daarom het liefst binnen drie weken als het huidprobleem niet reageert op een eventueel ingestelde therapie of neem biopten van een recent ontstane laesie. Bij dermatologische problemen moet de huid niet worden geschoren en gewassen voorafgaand aan de bioptname, omdat hierbij oppervlakkige epidermale afwijkingen zoals korsten verwijderd kunnen worden. Bij ge-ulcereerde huidlaesies is het verstandig te biopteren op de overgang van intacte huid naar ulceratie. In een volledig ge-ulcereerd huidbiopt ontbreekt essentiële informatie over de epidermis en de epidermale-dermale overgang. Dit laatste is bijvoorbeeld een belangrijk element in de diagnostiek van een equine sarcoïd. Neem voldoende grote ponsbiopten, bij voorkeur 6 tot 8 millimeter, en zorg voor voldoende diepte. Vooral bij huidaandoeningen met hyperkeratose of epidermale hyperplasie zijn de biopten wel eens te oppervlakkig, waardoor de onderliggende pathologie in de dermis ontbreekt. Er kan dan geen diagnose worden gesteld.
BIOPTEN UIT HET MAAGDARMKANAAL
Histopathologisch onderzoek van endoscopische biopten uit het maagdarmkanaal is onderdeel van een multimodale diagnostische benadering van patiënten met chronische maag-darmproblemen zoals maagulcera en inflammatory bowel disease (IBD), maar het verkrijgen van representatieve en kwalitatief goede weefselmonsters kan een uitdaging zijn (zie fig. 3). Vanwege het enorme oppervlak van de gastrointestinale mucosa is het niet vanzelfsprekend dat biopten representatief zijn voor het ziektebeeld, tenzij laesies diffuus of macroscopisch zichtbaar aanwezig zijn. Focale of segmentale veranderingen kunnen hierdoor gemist worden. Het is daarom verstandig altijd meerdere biopten in te sturen. Endoscopische maag- en darmbiopten zijn klein en fragiel en daarom gevoelig voor artefacten en suboptimale oriëntatie. Een goede beoordeling van de villus-crypteverhouding of het verkrijgen van voldoende representatief oppervlak is soms lastig. Dit is inherent aan de procedure, dus hou hier rekening mee. Het nemen van biopten van het rectumslijmvlies is de eenvoudigste procedure en is in 30 tot 50 procent van de gevallen indicatief voor chronische enteropathie (Hostetter et al. 2022).

Figuur 2. ‘Tru-cut’-leverbiopten, 20x vergroting, HE-kleuring. Links een gefragmenteerd tru-cut biopt met verlies van weefsel, rechts een intact tru-cut biopt aangeleverd in een weefselcassette.
De patholoog beoordeelt de mucosale biopten systematisch, waarbij wordt gekeken naar architectuurveranderingen en veranderingen in het aantal ontstekingscellen. Dit gebeurt naar analogie van de gestandaardiseerde richtlijnen die bestaan voor de beoordeling van maag-darmbiopten van honden en katten. Voor paarden zijn dergelijke richtlijnen nog niet vastgesteld. Hierdoor is vooral de beoordeling van het aantal ontstekingscellen subjectief. Veranderingen in de mucosale architectuur zijn daarentegen sterke indicatoren voor inflammatoire maagdarmpathologie zoals IBD. De uiteindelijke diagnose van IBD berust op een combinatie van de klinische bevindingen, aanvullende testen en histopathologische bevindingen. Het detecteren van focale processen zoals een neoplasie kan lastig zijn in kleine mucosale biopten, vooral als het proces in de dieper gelegen submucosa of muscularis ligt.
ENDOMETRIUMBIOPTEN
Histopathologisch onderzoek van endometriumbiopten heeft een prognostische waarde en is nuttig bij fertiliteitsproblemen. Bij de beoordeling van endometriumbiopten werkt de patholoog samen met een specialist voortplanting paard. Naast een beschrijvende histopathologische beoordeling wordt hierbij het internationaal gestandaardiseerde Kenney-Doig graderingssysteem gebruikt, dat werkt met vier categorieën gebaseerd op ontsteking en fibrose in het endometrium (slight, mild, moderate, severe). De klinische anamnese wordt meegewogen om te bepalen in welke categorie een merrie valt. De toegewezen categorie kan duidelijkheid geven over de aard van de fertiliteitsproblemen en correleert met de kans op een succesvolle dracht. Dit helpt bij de besluitvorming over het inzetten van een merrie voor fokdoeleinden.

Figuur 3. Endoscopisch beeld van het via endoscopie nemen van een duodenum-biopt (foto met dank aan drs. Hanneke Panhuijzen, DAP Bodegraven).
LEVERBIOPTEN
Bij een verdenking van diffuse hepatopathie is histopathologisch onderzoek van leverbiopten vooralsnog de meest sensitieve en specifieke antemortem diagnostische methode. Door percutaan biopteren van de lever met een tru-cut biopsienaald worden fragiele langwerpige leverbiopten verkregen. Het weefseloppervlak dat kan worden beoordeeld in deze biopten, is beperkt; daarom is het belangrijk meerdere biopten in te sturen en is het heel belangrijk knijpartefacten te voorkomen. Door deze biopten in weefselcassettes te fixeren in formaline, daalt het risico op beschadiging tijdens transport aanzienlijk (zie fig 2). In het laboratorium worden de biopten gekleurd met zowel de routine HE-kleuring als een aanvullende Perls Prussian blue-kleuring (voor detectie van ijzerpigment), en een Van Gieson bindweefselkleuring. Met deze set van kleuringen beoordeelt de patholoog volgens een gewogen scoresysteem (Durham et. al. 2003) de aanwezigheid van fibrosering, cytopathologie, ontstekingsinfiltraat, galgangproliferatie en hemosiderinestapeling. Deze systematische benadering geeft een goede indruk van de mate van leverschade en een morfologische diagnose. Klinische besluitvorming berust vervolgens op een combinatie van histopathologische bevindingen, klinische symptomen, aanvullende diagnostiek, etiologie en respons op behandeling.
CASUS: HUIDPROBLEMEN AAN DE ONDERBENEN DOOR MOK?
Een KWPN-merrie heeft sinds enige tijd droge schilferige mok met haarverlies en oedeem aan de voorbenen (fig 3.). De afwijkende huid is niet pijnlijk. Er is geen verbetering na het gebruik van mokzalf.

Figuur 4. Droge schilferige laesies in de kootholte die in eerste instantie werden gediagnosticeerd als mok (foto met dank aan prof. M.M. Sloet van Oldruiten-borghOosterbaan).
Om de aard van de huidafwijkingen te onderzoeken, heeft de dierenarts ponsbiopten van 8 millimeter genomen en ingestuurd voor histopathologisch onderzoek.
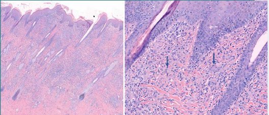
In dit geval is het histopathologische beeld eenduidig, waardoor de dierenarts een duidelijke diagnose krijgt. De huid vertoont hyperkeratose en is gering hyperplastisch verdikt. In de dermis is een diffuus celrijk granulomateus ontstekingsinfiltraat aanwezig met talrijke meerkernige reuscellen van het Langhans-type (fig 4). Dit beeld wijst op sarcoïdose.

Figuur 5. Huidbiopt met een uitgebreid ontstekingsinfiltraat in de dermis, bij een hogere vergroting (rechts) zijn veel meerkernige reuscellen van het Langhans-type zichtbaar.
CONCLUSIE
Cytologisch en histopathologisch onderzoek kunnen waardevolle informatie geven over de klachten van een patiënt. Een goede samenwerking tussen patholoog en dierenarts kan dit naar een nog hoger niveau tillen. Het nemen van representatieve monsters en het zorgvuldig hanteren van de monsters vergroot de kans op een betrouwbare beoordeling van het celmateriaal of weefselbiopt. Met een goede anamnese en gerichte vraagstelling kunnen pathologen de geobserveerde afwijkingen beter interpreteren en tot een diagnose komen. Soms is het handig voorafgaand aan de bioptname te overleggen met een patholoog over de mogelijkheden en toepasbaarheid van pathologisch onderzoek voor een bepaalde patiënt. Ten slotte weerspiegelt een biopt een klein deel van het geheel en is het een momentopname. Het komt voor dat een biopt niet representatief blijkt voor het ziektebeeld. Mocht u een uitslag ontvangen die niet goed past bij het klinische beeld, neem dan contact op met de patholoog om dit te bespreken. Hierdoor kunnen bevindingen soms in een andere context worden geïnterpreteerd of kunnen vervolgstappen worden besproken.

Voor meer tips en uitgebreidere protocollen over het insturen van cytologische uitstrijkjes en biopten, scan deze QR-code.
Referenties